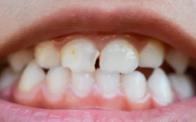
Puknuće ispuna i “bol na zagriz”: diferencijalna dijagnostika (pukotina zuba, sekundarni karijes, visoki kontakt) i kada je hitno
Bol pri zagrizu predstavlja simptom koji često upućuje na mehanički problem zuba ili restauracije
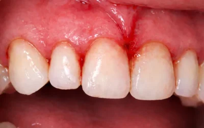
Krvarenje desni koje se vraća: protokol od gingivitisa do parodontitisa (što se mjeri na pregledu i kako se planira kontrola)
Krvarenje desni najčešće je znak upale izazvane dentalnim plakom, a ne “slabosti” sluznice.
Crvene zastavice i ABCD pravilo u procjeni kožnih promjena
Kožne promjene su vrlo česte i većina ih je bezopasna. Ipak, u dermatologiji je ključno na vrijeme...
Mapa iritativnih dermatoza lica: kako razlikovati perioralni dermatitis, rozaceju i iritativni kontaktni dermatitis po kliničkim uzorcima
Zašto se ove dijagnoze često miješaju Perioralni dermatitis, rozaceja i iritativni kontaktni...
Bol nakon ugradnje implantata: diferencijalna dijagnostika po vremenskoj crti (0–72 h, 4–7 dana, 2–6 tjedana) i kada je to alarm
Bol nakon ugradnje dentalnog implantata očekivana je postoperativna pojava
PRP vlasišta: realna mapa očekivanja (3–12 mjeseci)
PRP (platelet-rich plasma) u kontekstu vlasišta označava primjenu autologne plazme obogaćene trombocitima s ciljem biostimulacije folikularne jedinice i mikrookoliša vlasišta.
Virusne bradavice: mali vodič za pacijente
Virusne bradavice su dobroćudne izrasline kože koje nastaju kada HPV virus uđe u površinski sloj kože
Polinukleotidi tretman: protokol procjene kandidata i 3 najčešće pogreške koje daju slab rezultat
Polinukleotidi u estetskoj i regenerativnoj medicini predstavljaju injektibilne biostimulatore čiji je primarni cilj modulacija reparacijskih procesa kože
Pjeskarenje zubi: klinička checklista prije i poslije (mrlje, kamenac, osjetljivost, održavanje)
Pjeskarenje zubi (air-polishing) je profesionalni postupak uklanjanja mekih naslaga
Sve što trebaš znati o aknama!
Akne su jedno od najčešćih stanja kože koje pogađa ne samo tinejdžere, nego i sve veći broj...
Botox vs Dermalni Fileri
Kad se govori o pomlađivanju i osvježavanju lica, najčešće se spominju botox i dermalni...
SIGURNI LJETNI SKIN CARE TRETMANI
U ljetnim mjesecima naša koža je više izložena UV zrakama, stoga je potrebno izbjegavati neke...
Povlačenje zubnog mesa – recesije
Vidljivi korijen zuba, osim estetskog problema može dovesti do boli ili klimanja zubi. Rješenje za prekrivanje korijena postoji. Saznajte više.
FOTONA LASER – rješenje koje tražite
Nekirurško rješenje za najčešće dermatološke probleme - akne, vene, strije, izrasline, uklanjanje...
Dan ortodoncije 27.3.2025.
Popust na prozirne aparatiće – Dan otvorenih vrata – Clear Correct
Galerija radova: Trajni zubi na 4 implantata – ALL on 4 metoda
Tražite ekipu s kojom ćete doći do osmijeha iz snova? Trajno rješenje su implantati vrhunske kvalitete i garancije te stručnost dr. Marina Petkovića. Kontaktirajte nas s povjerenjem.
Kompozitne ljuskice – bez brušenja cakline do savršenog osmijeha
Injekcijske kompozitne ljuskice su relativno nov i inovativan estetski postupak izrade zubnih...
Klik do glatke kože – LASERSKA EPILACIJA
Dugotrajno rješenje za neželjene dlačice. Klik do glatke kože - LASERSKA EPILACIJA Dugotrajno...
Kako postići blistavu kožu, a zadržati autentičnost?
PRVI ORGANSKI SKINBOOSTER Skinbooster je dermalni koktel na bazi hijaluronske kiseline za...
Što trebate znati o mekim bradavicama na vratu?
Estetski problem poznat pod nazivom FIBROMI. Iako ljudi fibrome najčešće pogrešno zovu...






















